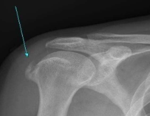
석회화건염
칼슘 성분의 석회가 회전근개 힘줄에 쌓이는 질환으로 결석이나 담석 같은 병처럼 몸 안에 비정상적으로 돌이 생기는 것으로,
회전근개 중 극상근에 가장 많이 생기며 30-60대에 잘 발생합니다.
- 원인은 정확히 밝혀지지 않았습니다.
- 다만, 노동 강도와 연관이 있으며 반복되는 작은 손상 및 어깨의 퇴행성 변화와 관계가 있다고 봅니다.
석회화건염 원인
- 예고없이 찾아오는 격렬한 통증! 형성기 석회가 침착되는 시기로 통증을 비롯한 다른 증상은 거의 없습니다.
용해기 몸에서 석회를 없애기 위해서 석회 주위로 혈관을 만들어 내는 시기로 활발한 염증 반응이 일어나면서 통증이 생깁니다.

